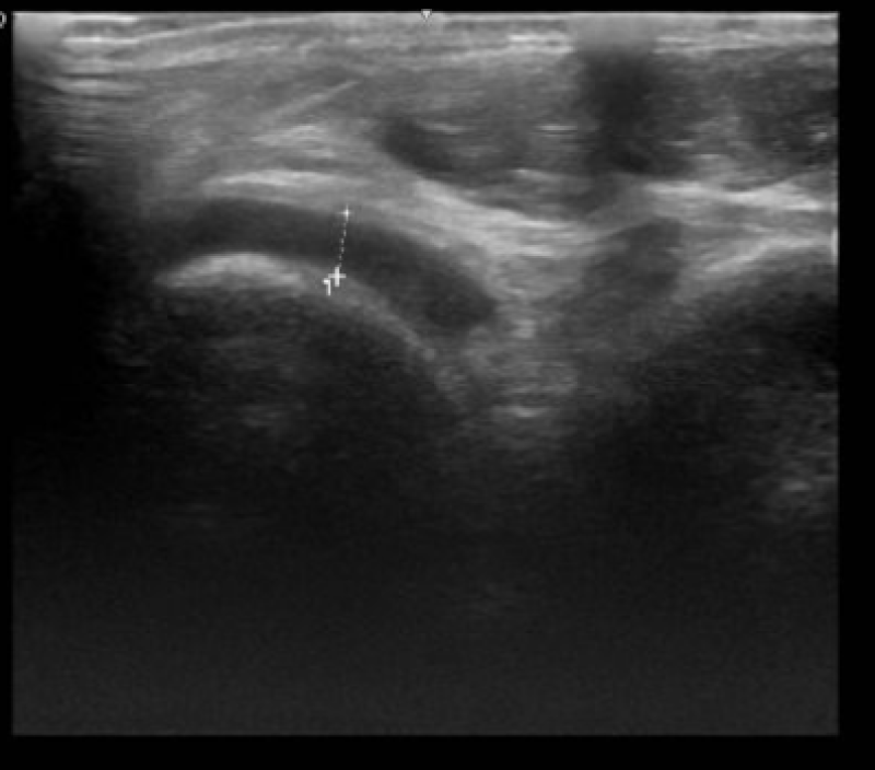
ประเทศเวียดนาม อายุเพียง 22 ปี งมีอาการปวดข้อเท้าซ้ายอย่างรุนแรง โดยก่อนหน้านั้น 1 วัน เขาเริ่มมีอาการปวดแบบหน่วงๆ และรุนแรงขึ้นในเวลากลางคืนหรือขณะเดินจนไม่สามารถเดินได้เอง ผลตรวจทางห้องปฏิบัติการพบว่ามีกรดยูริกในเลือดสูงผิดปกติ ไขมันในเลือดผิดปกติ (คอเลสเตอรอลและไตรกลีเซอไรด์สูง) มีของเหลวในข้อเท้าซ้าย ไขมันพอกตับระดับ 2 และพบติ่งเนื้องอกในถุงน้ำดี

โดยชายหนุ่มมักรับประทานเนื้อสัตว์มาก โดยเฉพาะเนื้อแดง แต่กลับไม่ค่อยออกกำลังกาย ทำให้ควบคุมน้ำหนักไม่ได้ และนำไปสู่ปัญหาการเผาผลาญผิดปกติหลายด้านพร้อมกัน แพทย์เตือนว่าในปัจจุบันโรคเกาต์เริ่มพบมากขึ้นในคนอายุน้อย ต่างจากอดีตที่มักพบในผู้สูงวัย

คำแนะนำจากแพทย์
1. รักษาน้ำหนักตัวให้อยู่ในเกณฑ์ที่เหมาะสม
2. จำกัดเนื้อแดง เครื่องในสัตว์ อาหารทะเล
3. หลีกเลี่ยงการดื่มแอลกอฮอล์
4. ดื่มน้ำวันละ 2-3 ลิตร
5. ออกกำลังกายเป็นประจำ
ข้อมูลSOHA