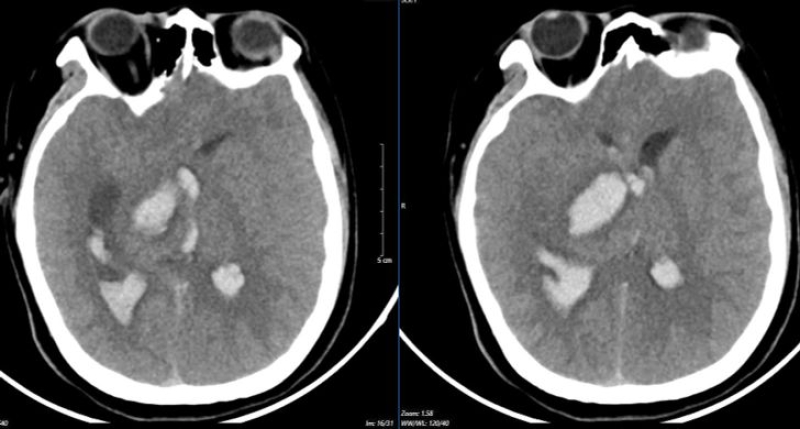
รายงานจากสื่อต่างประเทศ เด็กชายวัย 15 ปี ถูกส่งตัวเข้าห้องฉุกเฉินด้วยอาการปวดศีรษะรุนแรง จากนั้นไม่นานก็ตกอยู่ในอาการโคม่า โรงพยาบาลชั้นต้นวินิจฉัยว่า ผู้ป่วยมีภาวะเลือดออกในสมอง จึงทำการใส่ท่อช่วยหายใจ ติดเครื่องช่วยหายใจ และส่งตัวไปรักษาต่อ โดยตรวจพบว่า รูม่านตาข้างขวาขยายใหญ่ ผลการสแกนแสดงให้เห็นว่ามีเลือดออกในสมองเนื่องจากหลอดเลือดสมองโป่งพองและแตก

เกิดภาวะแทรกซ้อนของโพรงสมองขยายผิดปกติ ความผิดปกติของอุณหภูมิร่างกาย และมีไข้สูงตลอดเวลาที่ 39-40 องศาเซลเซียส ความผิดปกติของหลอดเลือดสมองอยู่ในตำแหน่งที่อันตรายอย่างมาก หลังจากการดูแลฉุกเฉินเป็นเวลา 2 วัน แพทย์ได้แจ้งว่าไม่สามารถช่วยชีวิตได้อีกต่อไป จึงส่งผู้ป่วยกลับบ้าน และเสียชีวิตในเวลาต่อมา

ข้อมูลเพิ่มเติมเกี่ยวกับกรณีโรคหลอดเลือดสมองในคนหนุ่มสาว
ดร.Le Tuấn Anh จากศูนย์โรคหลอดเลือดสมอง (โรงพยาบาลบั๊กมาย) เปิดเผยกรณีที่สองเป็นหญิงสาวอายุ 19 ปี ถูกนำตัวเข้าห้องฉุกเฉินในอาการโคม่าลึก ใช้เครื่องช่วยหายใจ และอัมพาตทั้ง 4 แขนขา ผลเอกซเรย์แสดงเลือดออกในสมองและสมองบวมกระจายเนื่องจากหลอดเลือดโป่งพองแตก
ผู้ป่วยได้รับการผ่าตัดนำก้อนเลือดและหลอดเลือดที่ผิดปกติออก แม้จะได้รับการรักษาอย่างเข้มข้น แต่ยังคงมีภาวะแทรกซ้อนรุนแรง หลังการรักษา 1 เดือน ผู้ป่วยยังคงหมดสติและอัมพาตด้านซ้ายทั้งหมด
ดร.Le Tuấn Anh กล่าวว่า ความผิดปกติของหลอดเลือดสมองเป็นปัญหาพัฒนาการของระบบหลอดเลือดสมองที่อันตราย และมักเกิดในคนหนุ่มสาว โดยมักตรวจพบเมื่อหลอดเลือดโป่งพองและแตก มักตรวจเจอโดยบังเอิญ
แพทย์แนะนำให้ประชาชนเข้ารับการตรวจเมื่อมีอาการต่อไปนี้ : ปวดศีรษะ วิงเวียน ชา หรืออัมพาตครึ่งซีก รวมถึงชัก หากมีอาการรุนแรงอย่างหมดสติ ควรรีบไปโรงพยาบาลทันที
เรียบเรียง news in thailand